
Tegenover het winkelcentrum Hoog Dalem, De Linie, Gorinchem.

Onderdeel van een gezondheidscentrum.

Wanneer details ertoe doen en tandheelkunde zorgvuldig moet zijn.

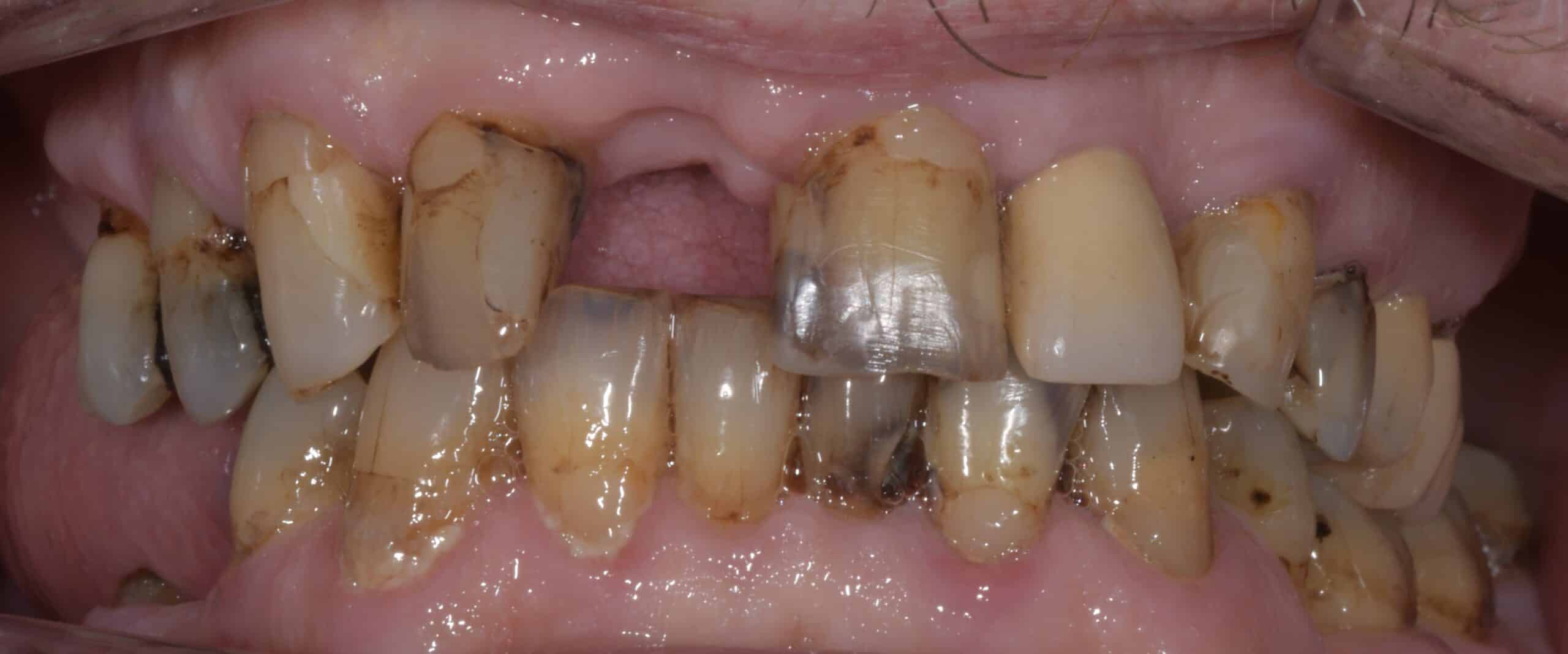
Inferieure tandheelkunde. Laagwaardige ‘betaalbare’ gat-en-vul-tandheelkunde met “witte” vullingen. Resultaat na jarenlange professionele verwaarlozing door goed-genoeg tandheelkunde. Doe het uw kleinkinderen niet aan.

Hoogwaardig duurzame tandheelkunde. Een ‘valhelm’ voor uw tanden. Porseleinen facings die niet meer verkleuren. Hier alleen op de boventanden. Resulteert in een mooie lach. Facings van laagwaardige “witte vulling” verkleuren. Dat ‘betaalbare’ plak-en-knip materiaal gebruiken wij niet. Idente werkt alleen met hoogwaardige tandheelkundige materialen. Noblesse oblige.
Afspraak maken bij de tandarts in Gorinchem
Spoed tandarts Gorinchem
Klachten
Kenniscentrum
Hoe kom je bij Idente Tandarts Gorinchem: